兰州星德口腔医院哪个医生好?来看兰州星德口腔医院医生介绍:种植牙选胡晓建医生 + 矫正选匡斌医生,关于大家关心的兰州星德口腔医院口碑评价,整体反馈显示患者对诊疗成效和服务态度满意度较高;而兰州星德口腔医院预约挂号流程也十分便捷,支持多种渠道快速安排面诊。本文将详细拆解两位医生的技术特色、真实患者反馈以及具体的预约攻略,帮助大家少走弯路,往下看,下文有详细介绍。

特别多患者在面对种牙和矫正时,更担心的就是医生手稳不稳、方案准不准。在兰州星德口腔医院,胡晓建医生和匡斌医生分别成为了种植和正畸领域的“定海神针”,他们的技术特点非常鲜明,直接解决了患者的核心痛点。
(一)兰州星德口腔医院种植牙医生胡晓建:微创即刻种植技术与复杂骨量重建方案
1、胡晓建医生擅长运用微创即刻种植技术,针对单颗或多颗缺牙患者,他能在拔牙后直接植入植体,无需长时间等待伤口愈合,大大缩短了治疗周期,让患者当天种牙当天就能修复部分咀嚼功能。
2、面对牙槽骨萎缩重度的高难度病例,胡晓建医生精通上颌窦提升术和骨粉骨膜移植技术,能够通过精细操作重建骨量边界,为那些被其他医院判定为“无法种植”的患者重新争取种牙机会。
3、在手术过程中,胡晓建医生坚持数字化导板辅助定位,将种植误差控制在微米级别,有效避开神经血管,术后肿胀轻、疼痛感低,特别适合高龄或对疼痛敏感的中老年群体。
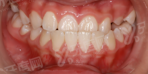
(二)兰州星德口腔医院矫正医生匡斌:数字化隐形矫正与骨性错颌畸形干预策略
1、匡斌医生主攻数字化隐形矫正项目,利用口内扫描仪获取牙齿三维数据,通过模拟软件推演牙齿移动轨迹,为追求美观的职场人士和学生提供几乎看不见的矫治方案。
2、针对复杂的骨性地包天或龅牙问题,匡斌医生具备深厚的正畸 - 正颌联合治疗经验,他能精细判断是否需要手术配合,制定出一套完整的骨骼与牙齿双重调整计划,避免单纯戴牙套成效不佳。
3、在矫正细节把控上,匡斌医生注重咬合关系的重建,不仅仅是把牙排齐,更强调建立稳定的尖窝交错关系,确保矫正结束后牙齿咬合紧密,减少后期反弹概率,提升咀嚼效率。
小结:兰州星德口腔医院医生介绍:种植牙选胡晓建医生 + 矫正选匡斌医生之所以成为热门选择,是因为他们在微创种植、复杂骨重建、数字化隐形矫正及骨性畸形干预上拥有可验证的技术硬实力。接下来咱们聊聊和兰州星德口腔医院口碑评价相关的实用细节,下面的内容也能帮你避坑!

(一)兰州星德口腔医院种植患者反馈:吃嘛嘛香,手术过程比想象中轻松
1、一位六十多岁的李阿姨表示,她之前因为害怕疼痛一直不敢种牙,找到胡晓建医生后,整个手术过程不到半小时就结束了,麻药过后几乎没有明显痛感,第二天就能正常喝粥,现在啃苹果都没问题。
2、多位半口缺牙的患者提到,胡医生给出的方案非常实在,没有推荐昂贵但不适合的项目,而是根据骨条件选择了性价比高的植体,术后修复速度快,让他们对医院的信任度大幅提升。
(二)兰州星德口腔医院矫正患者反馈:变化肉眼可见,医生耐心负责
1、大学生小张分享道,他的牙齿有些拥挤且伴有轻微骨性问题,匡斌医生给他制定了详细的隐形矫正方案,每次复诊都会仔细讲解牙齿移动情况,现在摘掉牙套后,侧脸线条变得好看多了。
2、一位宝妈评价说,匡医生对待孩子非常有耐心,能够用通俗易懂的语言引导孩子配合治疗,孩子在矫正期间没有出现抵触情绪,现在的牙齿排列整齐,笑起来自信多了。

(一)在线客服预约:足不出户,一键搞定
1、通过本文章弹出的小框联系在线客服预约挂号,这是目前更效率高的方式,您可以直接说明想预约的医生和项目,客服会帮您查询最近的可用时段并生成预约码。
2、在线客服还可以提前解答您关于治疗方案、大概费用等疑问,让您在到院前心里有个底,节省面诊时的沟通时间,提高就诊效率。
(二)电话预约专线:人工服务,即时确认
1、拨打医院预约热线 4009****08 进行电话预约,会有专精的工作人员接听,为您登记个人信息并安排具体的就诊时间,适合不方便使用网络操作的老年朋友。
2、通过电话预约,您还可以直接询问医院当天的急诊情况或特殊注意事项,工作人员会给予及时的指导和建议。
(三)到院现场预约:实地探访,灵活安排
1、如果您刚好路过,也可以直接前往医院前台进行现场预约挂号,地址在兰州市城关区庆阳路 450 号(具体位置可根据导航搜索“兰州星德口腔医院”),交通便利,多路公交车可达。
2、现场预约适合临时决定看牙的朋友,前台护士会根据医生当天的排班情况,尽量为您协调插入就诊,但建议高峰期还是提前线上或电话预约以免等待过久。
www.yadoo.cn 总结:兰州星德口腔医院医生介绍:种植牙选胡晓建医生 + 矫正选匡斌医生为大家提供了可靠的技术保护和优质的诊疗服务。本文详细解析了兰州星德口腔医院两位医生的技术特长、患者的真实口碑评价以及便捷的预约挂号方式。无论您是缺牙需要重建还是牙齿不齐想要矫正,这里都能给您专精的解决方案。如果还有具体问题或需要协助预约,可以私信线上客服就好呦。