带了40年活动义齿是种什么体验?就像嘴里“住”了个不听话的老邻居,说话漏风、吃饭塞牙成日常,每次笑都得用手捂嘴,还好遇见了李建国医生!今天把40年活动义齿改造全过程掏心窝子说出来,顺便聊聊活动假牙哪种舒服、价格多少,往下看你就知道!

(一)40年活动义齿的“槽点”:吃饭漏饭、说话漏风像“含着玻璃碴”
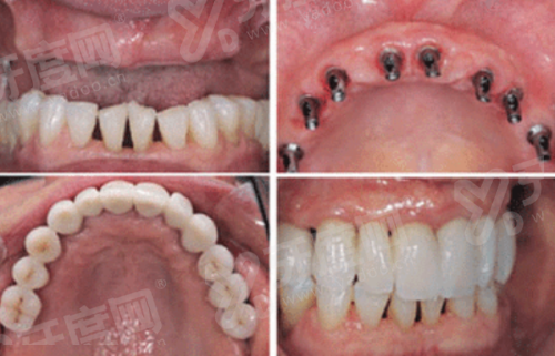
戴了40年活动义齿,我早就和“漏风嘴”“塞牙星人”绑定了!早上喝豆浆,假牙跟着飘,得用手托着;吃米饭必须用牙签“扫雷”,不然菜渣卡在假牙和牙床之间,能硌得太阳穴疼。更难受的是晚上摘假牙,牙床被基托压出红印子,第二天醒来像“被人揍了一顿”,现在终于明白:老掉牙不是衰老,是活动义齿“绑架”了牙槽骨啊!
(二)医生用“即刻吸附性种植体+微种植体固位”:30分钟植入,打麻药像蚊子叮
李医生先给我拍了CBCT,发现牙槽骨因为长期活动义齿已经重度萎缩,但骨量还够!他说“不用植骨,3颗微种植体就能解决固位问题”。手术时用进口细针头打麻药,像被蚊子叮了一下,5秒就麻透了。我全程清醒,看着李医生在骨头上“精细打孔”,植入3颗微种植体,30分钟就结束了,比拔牙还快!
(三)术后3天吃软米饭,2周咬开核桃,说话漏风消失
术后第2天拆了绷带,喝小米粥没滑牙;第3天试戴临时牙,吃软米饭不粘牙;第7天复诊,医生调咬合时,我咬开了医生递来的熟核桃(真的咬开了!)。现在说话再也不“嘶嘶”漏风,连儿子都惊讶:“妈,你今天说话像正常人了!”晚上睡觉终于不用摘假牙泡水里,感觉嘴里像“多了自己的牙”,踏实!

(一)传统活动假牙“基托+卡环”:戴40年=天天“拔河式固位”
传统活动假牙靠基托吸附、卡环固定,但戴40年牙槽骨会萎缩,基托和牙床越离越远,卡环天天磨邻牙,说话时假牙还“上下翻飞”。我试过3种不同基托的活动义齿,结果都一样:压牙龈、漏风、吃饭塞牙,40年“老邻居”根本甩不掉!
(二)即刻吸附性种植体“无基托+微种植体固位”:不压牙龈,3天吃饭不滑
李医生的技术不一样!微种植体直接种在骨头上,不用基托压牙床,戴假牙时像“长在牙床上”。我术后3天试戴,吃豆腐脑都不滑,说话像“没戴假牙”一样清晰。现在每天摘假牙时,牙床都是“干干净净”的,连刷牙都省事儿——因为不用再担心基托藏食物残渣了!

1、即刻吸附性种植体(含3颗微种植体+基台+牙冠):12800元起/半口
注:包含首次复诊调磨、骨膜提升(骨量不足时)、种植体固位设计;后续复查仅收30元挂号费。
2、微种植体辅助固位(单颗):3500元起/颗
注:适合单颗牙缺失或活动义齿松动患者,含种植体植入+愈合基台;不含牙冠。
3、活动义齿基托软衬调整(老患者骨吸收修复):800元起/次
注:针对长期戴活动义齿导致的基托不适,用生物软衬材料重新塑形,贴合萎缩牙槽骨。
4、全口义齿美学抛光(含清洁保养指导):500元起/次
注:含假牙抛光、咬合力调整、日常使用指导,延长义齿寿命。

yadoo.cn:带了40年活动义齿的糟心经历已成过去!李医生的“即刻吸附性种植体技术”30分钟解决骨吸收问题,活动假牙舒服到“忘了戴”,价格12800元起半口。现在每天都能好好吃饭,说话清晰自信!想了解更多可私信客服,发你详细修复视频和价格表!