东莞牙状元口腔医院种植牙怎么样?这家医院采用数字化微创技术,种植位置误差控制在毫米级别内,收费透明无隐形消费。韩国登腾植体3980元起/颗,美国皓圣植体5800元起/颗,瑞士士卓曼植体8800元起/颗。想知道它到底强在哪?收费透不透明?简单说,东莞牙状元口腔医院种植牙怎么样?答案是:微创精细修复快,收费透明无隐形!东莞牙状元口腔医院作为一家正规连锁机构,技术实力强且口碑超好,专门用数字化微创技术帮大伙儿轻松种好牙。想知道它到底强在哪?收费透不透明?下面咱们就详细了解一下,确保让您看得明明白白,种牙不再踩坑!
一、东莞牙状元口腔医院种植牙怎么样?微创精细修复快,收费透明无隐形
东莞牙状元口腔医院种植牙怎么样?这是最近东莞缺牙街坊们聊得更热火的话题。其实,选择一家正规靠谱、技术好的医院才是关键!牙状元口腔凭借数字化微创技术和透明收费体系,在东莞地区赢得了较高满意度。

(一)东莞牙状元口腔医院种植牙怎么样:真实好评见证
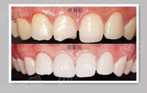
1. 南城李叔做完即刻种植,当天就能吃软饭,直呼技术神。
李叔今年62岁,缺牙多年一直不敢吃硬物。在牙状元口腔做了即刻种植,当天种牙当天戴临时牙冠,现在就能吃软饭了,李叔直呼技术真是神了!
2. 长安王姨怕疼不敢种,医生微创操作让她睡一觉就搞定。
王姨一直对种牙有恐惧心理,听说要开刀就害怕。医生采用微创技术,切口仅3-4毫米,王姨说就像睡了一觉就搞定,一点都不疼!
3. 东城张哥对比多家,觉得这里价格实在,没有乱推销项目。
张哥为了种牙对比了东莞三家口腔医院,更终选择牙状元口腔,因为这里价格实在,术前出具详细清单,没有乱推销项目,让人特别放心。
(二)东莞牙状元口腔医院种植牙怎么样:技术硬核有
保护
1. 引入动态导航导板,种植位置误差控制在毫米级别内。
数字化导板技术让种植手术更加精细安心,种植体位置误差控制在毫米级别内,避开神经血管,大大提高手术安心性。
2. 配备层流无菌手术室,从源头杜绝感染风险更安心。
医院配备层流无菌手术室,空气洁净度达到手术标准,从源头杜绝感染风险,让您种牙更安心。
3. 支持复杂骨量不足实例,无需盲目植骨也能稳固种牙。
对于骨量不足的患者,医生会采用倾斜植入、翼板种植等技术,无需盲目植骨也能稳固种牙,节省治疗费用和时间。
(三)东莞牙状元口腔医院种植牙怎么样:费用明细透明公开
为了让大家明明白白消费,以下是东莞牙状元口腔医院种植牙参考价位表:

| 植体品牌 | 参考价格(元/颗,含基础服务费) |
|---|---|
| 韩国登腾植体 | 3980元起 |
| 韩国奥齿泰植体 | 4580元起 |
| 美国皓圣植体 | 5800元起 |
| 瑞士士卓曼植体 | 8800元起 |
| 瑞典诺贝尔植体 | 9800元起 |
费用说明:
- 术前出具详细清单,每一分钱花在哪里都写得清清楚楚。
- 集采政策落地后,韩系植体起步价亲民,百姓能承担。
- 欧美高端植体也有优惠,长期质保确保让患者更放心。
【价格总结】
小结: 总的来说,东莞牙状元口腔医院种植牙怎么样?答案非常肯定。它凭借正规的连锁资质、经验多的骨干医生团队以及透明的收费体系,在东莞地区赢得了较高满意度。无论是简单的单颗缺失,还是复杂的全口重建,这里都能提供科学方案。接下来咱们就来看看东莞数字化微创种牙哪里好。
二、东莞数字化微创种牙哪里好?(
精细
度高、舒适度高、成功几率高)
了解了东莞牙状元口腔医院种植牙怎么样,接下来咱们就来看看东莞数字化微创种牙哪里好。数字化微创种牙是现代种植牙的核心技术,直接关系 to 手术成功几率和术后修复速度。
(一)东莞数字化微创种牙哪里好之
精细
度:术前模拟,术中
精细

1. 通过CBCT三维重建,提前模拟手术路径避开神经血管。
术前通过CBCT扫描获取颌骨三维数据,重建口腔模型,提前模拟种植路径,避开下颌神经、上颌窦等重要结构,大大提高手术安心性。
2. 导板辅助下切口微小,术后肿胀轻,不影响正常上班。
数字化导板辅助下的种植手术,切口仅3-4毫米,无需缝合或仅需1-2针,术后肿胀轻微,不影响正常上班,特别适合忙碌的上班族。
3. 数字化分析骨密度,确保植体初期稳定性达到至佳状态。
系统会自动化分析您的骨密度,选择至佳植入角度和深度,确保种植体初期稳定性达到至佳状态,提高成功几率。
(二)东莞数字化微创种牙哪里好之舒适度:微痛感,快速完成
1. 采用舒适化麻醉管理,全程微痛感,消除看牙恐惧心理。
医院采用舒适化麻醉管理,注射时先涂抹表面麻醉膏,几乎无疼痛感,消除看牙恐惧心理,让种牙变成轻松体验。
2. 手术时间短,熟练骨干医生操作通常半小时内即可完成种植。
对于单颗种植,熟练的骨干医生操作通常半小时内即可完成,手术效率极高,减少您在牙椅上的时间。
3. 术后反应轻微,无需长时间住院,回家休养即可快速修复。
数字化微创种牙术后反应轻微,无需长时间住院,回家休养即可快速修复,不影响正常生活和工作。
(三)东莞数字化微创种牙哪里好之成功几率:严格筛选,长期跟踪
1. 严格筛选适应症,不为不适合患者强行手术,保护安心。
医生会严格筛选适应症,对于不适合立即种植的患者,会精良行治疗或建议其他方案,不为不适合患者强行手术,确保安心。
2. 多年临床数据积累,处理各类疑难杂症实例经验多。
牙状元口腔医生团队拥有多年临床经验,处理过各类疑难杂症实例,经验多,能够应对各种复杂情况。

3. 完善的术后回访机制,长期跟踪维护,延长牙齿使用寿命。
医院建立完善的术后回访机制,长期跟踪维护,确保种植体使用寿命延长,让您种一次牙,享受几十年。
小结: 综上所述,东莞数字化微创种牙哪里好?东莞牙状元口腔凭借精细度高、舒适度高、成功几率高的三大优势,确实是值得信赖的种牙好去处。接下来咱们就来看看东莞牙状元口腔的便民服务有哪些。
三、东莞牙状元口腔便民服务指南(网点广泛、团队
专精
、服务人性化)
了解了东莞牙状元口腔医院种植牙怎么样和东莞数字化微创种牙哪里好,下面为大家介绍东莞牙状元口腔的便民服务。
(一)网点分布广泛,就近选择更方便
1. 网点分布广泛,南城、东城、长安等多镇区均有分院可就近选。
东莞牙状元口腔在东莞多个镇区设有分院,南城、东城、长安等地都有,您可以选择离自己最近的分院就诊,节省路上时间。
2. 交通便利,周边配套设施齐全,自驾或公共交通都能轻松抵达。
每家分院都选择的交通便利的位置,周边配套设施齐全,无论是自驾还是乘坐公共交通,都能轻松抵达。
3. 实行分时段预约制,到院即看减少等待时间。
医院实行分时段预约制,您可以通过电话400-968-3508或线上客服预约合适的时间段,到院后无需长时间等待。
(二)医护团队

专精
,操作规范严谨
1. 医护团队持证上岗,操作规范严谨,严格执行消毒隔离制度。
所有医生和护士都持证上岗,操作规范严谨,严格执行消毒隔离制度,从源头杜绝交叉感染风险。
2. 核心医师拥有十年以上临床经验,实例丰富,技术不错。
核心医师拥有十年以上临床经验,处理过上千例种植实例,技术不错,能够根据您的实际情况量身定制方案。
3. 定期邀请国内外骨干医生会诊,攻克高难度缺牙病例。
医院定期邀请国内外种植骨干医生会诊,对于高难度缺牙病例,能够提供更具有影响力的治疗方案。
(三)服务流程人性化,节省宝贵时间
1. 服务流程人性化,从预约到复诊专人引导,节省排队等待时间。
医院提供人性化服务流程,从预约到复诊都有专人引导,节省您排队等待的时间,让看牙变成轻松体验。
2. 建立终身电子档案,术后定期追踪维护牙齿健康。
医院会为每位患者建立终身电子档案,术后定期追踪维护,确保牙齿健康长久。
3. 提供术后专人回访服务,医生团队跟踪修复情况,遇到问题随时解答更安心。
术后会有专人回访,医生团队会跟踪您的修复情况,遇到任何问题都可以随时询问,让您种牙无忧。
小结: 综上所述,东莞牙状元口腔不仅技术实力强,便民服务也非常贴心。从网点广泛到团队专精,再到服务人性化,每个细节都体现了医院以患者为中 心的服务理念。
yadoo.cn: 综上所述,东莞牙状元口腔医院种植牙怎么样?答案是肯定的!东莞牙状元口腔医院正规靠谱、技术不错、服务优质,数字化微创种牙让每一位患者都能安心效率高地重获健康牙齿。东莞数字化微创种牙哪里好?牙状元口腔凭借精细度高、舒适度高、成功几率高的三大优势,确实是值得信赖的种牙好去处。如果您有缺牙方面的需求,不妨选择这里,让专精的医生为您的口腔健康保驾护航。想要了解更多信息或预约挂号,欢迎私信客服进行询问,我们将竭诚为您服务!