“整牙找徐宝华是不是智商税?”最近总看到粉丝在后台疯狂提问。作为北京正畸圈公认的“疑难杂症终结者”,徐宝华的正畸方案到底牛在哪?今天我们就来扒一扒他的核心技术,顺便介绍几个让患者直呼“后悔没早来”的真实实例。来解析徐宝华正畸水平怎么样?!www.yadoo.cn

一、徐宝华正畸水平怎么样?超稳的!三大技术壁垒
1. 三维动态咬合重建术:专治“骨性畸形”硬骨头
如果说普通正畸医生还在用“排齐牙齿”的1.0思维,徐宝华早已进化到“重建面部骨骼平衡”的3.0时代。
他自主研发的动态咬合轨迹扫描系统,能精细测算颞下颌关节运动轨迹。
举个例子:很多医生遇到骨性龅牙只会拼命内收前牙,结果导致瘪嘴。
而老徐会结合关节活动度,在矫正中预留2-3mm的“缓冲空间”,既能大化内收凸嘴,又能避免关节弹响等后遗症。
2. 隐形矫正超薄力学技术:钢牙妹也能悄悄美丽
你以为隐形牙套只能做简单实例?徐宝华用0.2mm超薄高分子膜片直接打破了认知。
这种定制的膜片施加的力度比传统隐形牙套强30%,却不会让牙根酸痛。
更绝的是他发明的“跳粘接”战术:遇到需要大范围移动的牙齿,直接在牙面上跳过3-4颗粘附件,用“杠杆原理”让牙齿像坐滑梯一样精细到位。
很多患者反馈:“原本预估2年的矫正,1年半就摘套了!”
3. 咬合功能美学双保险:正畸不是排齐就完事
“牙缝收紧了,但笑起来像假人”是很多整牙翻车实例的通病。
老徐的解决方案是“微笑线黄金三角”设计:通过计算鼻尖、唇峰、下巴颏的夹角,在矫正中同步调整牙齿倾斜度和牙龈暴露量。
有个实例特别典型👉一位顾客矫正后,原本僵硬的笑容变得自然灵动,同事直接夸她“亲和力满分”。www.yadoo.cn

二、徐宝华正畸真人实例大曝光!看完想立刻冲去挂号
实例1:骨性龅牙+露龈笑→侧颜杀建模脸
患者背景:28岁李女士,重度骨性凸嘴,闭嘴时肌肉紧张,侧面看像“不好看”。
徐宝华医生方案:
先用迷你骨钉把上颌整体后推3.5mm;
配合前牙压低术,把露出的3mm牙龈藏回去;
矫正后期调整后牙高度,让下巴自然旋出;
成果对比:矫正2年后,她从“凸嘴土妞”逆袭成博主,侧颜照被网友求着要整牙医生联系方式。
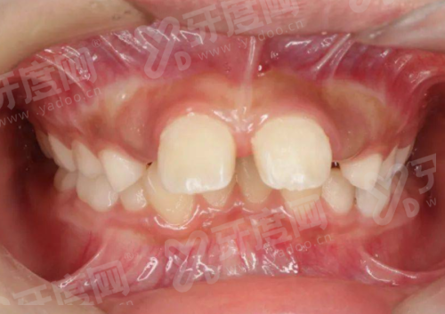
实例2:地包天+偏颌→人间富贵花
患者背景:16岁顾客因地包天自卑戴了5年口罩,咬合时下巴歪斜4mm。
徐宝华医生方案:
定制“隐形牵引+舌侧托槽”混合方案:白天戴隐形牙套推上牙,晚上挂Ⅲ类牵引器;
在偏斜侧植入骨钉,把歪掉的下巴拉回中线;
成果对比:18个月矫正结束,妈妈说她“像换了个人”。
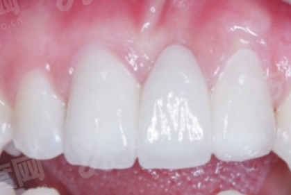
实例3:烤瓷牙+牙缝稀疏→女明星同款微笑
患者背景:35岁顾客,6颗烤瓷牙松动。
徐宝华医生方案:
先拆除问题烤瓷牙,用临时树脂冠稳住牙根;
设计“推磨牙向后”方案,避免拔牙;
最终用全瓷贴片重塑牙形,矫正后牙缝消失;www.yadoo.cn

三、徐宝华正畸技术:
复诊黑科技:
徐宝华团队用AI咬合纸替代传统咬合检查,患者咬一口就能生成32颗牙的受力热力图。
有患者调侃:
“以前复诊完腮帮子酸三天,现在5分钟搞定。”
防复发设计:
拆牙套时送的保持器自带“记忆卡槽”,能自动微调0.1mm以内的牙齿移位,比传统保持器延长成果稳定性2倍以上。
很多患者矫正完发现下颌线变紧了,其实是老徐在调整咬合时,顺便用托槽牵引刺激咬肌筋膜重组。
www.yadoo.cn徐宝华正畸水平怎么样?超稳的!专啃骨性畸形这类,用动态咬合扫描搞出"缓冲空间",看完徐宝华的正畸实例,终于明白为什么有人愿意跨省排队等他面诊了!如果你的牙齿有骨性前突、偏颌等难度,或者追求“整了像没整”的自然感,直接抄作业找老徐。现在他开通了线上初筛(搜“徐宝华工作室”公众号传牙片),想美丽的宝子们可以冲!